За інформацією: Суспільне Рівне.
Тричі промивали кісткову кісту дев'ятирічному пацієнту медики Рівненської обласної дитячої лікарні. Як повідомили у медзакладі, до них звернулися батьки хлопчика, який скаржився на біль в плечі. Після обстеження у нього виявили кісту значних розмірів. Після лікування дитина повернулася до активного життя.
Про це 10 грудня поінформували у Facebook обласної дитячої лікарні.
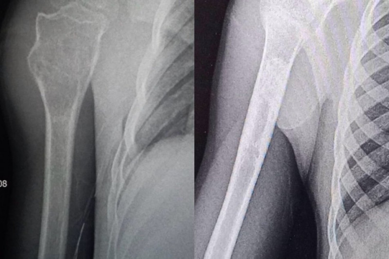
Як йдеться у дописі, у медзаклад звернулися батьки дев’ятирічного хлопчика, який протягом певного часу скаржився на біль у плечовому суглобі.
"Після проведення рентгенографії виявили значних розмірів кісту у проксимальному відділі плечової кістки — діагноз кісткова кіста. У цьому клінічному випадку спеціалісти ортопедо-травматологічного центру застосували метод пункційного лікування", — зазначили в публікації.

Кісткову кісту пролікували медики на Рівненщині. Facebook Рівненська обласна дитяча лікарня
У лікарні пояснили, що пацієнту тричі, з інтервалом у три місяці, виконували промивання кісти під загальним знечуленням та вводили у її порожнину спеціальний гормональний препарат.
"Метод дозволив уникнути великого оперативного втручання та забезпечив чудовий результат: рухи в плечовому суглобі повністю відновлені, дитина повернулася до активного життя", — пояснили в повідомленні.
